När du röntgas är det bara det området som undersöks som röntgenstrålningen strålar på. Strålning sker endast under tiden behandlaren håller ner knappen på röntgenavtryckaren. När bildtagningen är klar är det ingen strålning kvar, varken i rummet eller i patienten. Stråldosen som används vid röntgen av tänder och huvud är mycket låg även för den gravida patientens foster.
Vanliga röntgenundersökningar
Intraoral röntgen
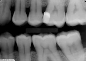
Vanligaste förekommande röntgenundersökningen i Sverige. Den används vanligen för att upptäcka tidig karies, tecken på tandlossningssjukdomar, tandsten och andra sjukdomar i munhålan. Röntgenstrålning som passerar genom tänderna fångas upp av en digital sensor som placeras i munnen. Du får en halskrage under hakan som skydd mot röntgenstrålningen.
Panorama röntgen (OPG):
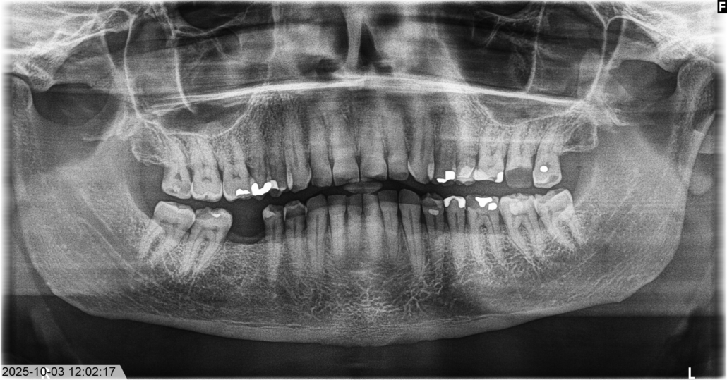
En mer omfattande röntgenundersökning där hela bettet avbildas med omgivande strukturer i en enda bild. Används för större terapiplaneringar för att få en helhetsbild.
Dental tomografi (CBCT):
CBCT används för att få tredimensionella bilder, dvs en volymavbildning av käken. Den används exempelvis inför implantat/kirurgi – utredningar.
Stråldoser vid tandröntgen
Dagligen utsätts vi av strålning från den naturliga bakgrundsstrålningen från rymden, berggrunden och vår egen kropp. Oavsett vilken röntgenundersökning som utförs på dig är stråldosen låg.
- En intraoral röntgenbild motsvarar ungefär ca 1/2 dygns naturlig bakgrundsstrålning.
- En panoramaröntgen motsvarar ca 1 veckas naturlig bakgrundsstrålning.
- En CBCT-röntgen motsvarar ca 1-2 månaders naturlig bakgrundsstrålning.
Viktigt att komma ihåg att nyttan med röntgenundersökningen alltid ska överstiga risken. Därför görs alltid en individuell bedömning för dig som patient om röntgenbilden är nödvändig.
Vid frågor och besvär tveka inte att kontakta oss:
Tel: 08-12 85 45 55
Epost: boka@alvsjotandvard.se
Intraoral röntgen
Panorama röntgen (OPG)
Dental tomografi (CBCT)







